Orthodontics

Orthodontics

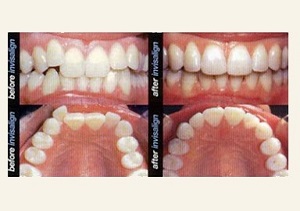
Mal alignment of the teeth are the primary concern of people these days primarily because of the aesthetic look.

This treatment helps to align all the teeth in a proper position. This takes care of your functional as well as your aesthetic concerns.

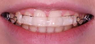
It is performed using brackets and braces.

Time

Orthodontic treatment requires minimum of 8-10 months to align the teeth.

In some cases requiring only aligning of teeth with latest treatment modalities , duration can be shortened to 3-6 months.

Cost
Metal
Ceramic
Lingual
Inman Aligners

Quick Links

Get In Touch

2nd shop, 2nd floor, 1108, Sarjapur - Marathahalli Rd, opp. to Indian oil petrol pump, above lifeline pharmacy, Sarjapura, Bengaluru, Karnataka 562125

elitedentals9765@gmail.com

63663 63783

Follow Us

© Elite Dentals. All Rights Reserved.